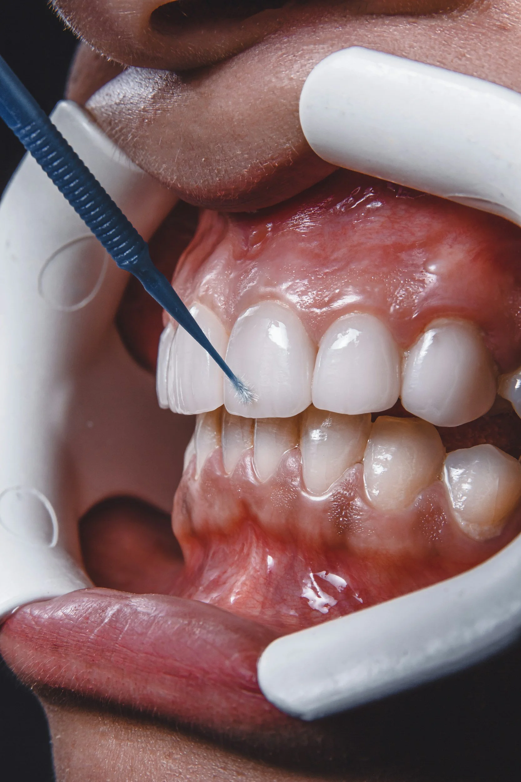
Veneers vs. Whitening vs. Bonding: What’s Right for You?
A brighter, more balanced smile doesn’t come from a one-size-fits-all solution. Veneers, whitening, and bonding are often grouped as cosmetic treatments, but they serve very different purposes. The right choice depends on what you’re trying to change, whether that be color, shape, structure, or all three. Understanding how each option works (and what it can’t do) is key to getting results that look natural and not overdone.